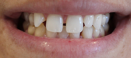
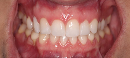
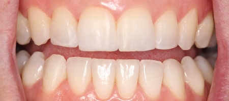
Before & After Composite Bonding Smile Gallery
The perfect smile by Reading Smiles
Hollywood Composite Bonding
Natural Composite Bonding
Cosmetic Bonding
Book An Appointment
Need more time before booking a consultation?
Schedule your virtual consultation today with our dedicated Treatment Coordinator.















